切换至 "中华医学电子期刊资源库"

中华胸部外科电子杂志 ›› 2025, Vol. 12 ›› Issue (04) : 235 -239. doi: 10.3877/cma.j.issn.2095-8773.2025.04.07

病例报告

胸腔镜联合胃镜治疗自发性食管破裂伴脓气胸1例
孔维成1, 陈文娟2, 周鲁迪1, 傅晨阳1, 许岑松1, 王云震3, 邵伟1,(), 周楠志1   
  1. 1316100 舟山,舟山市普陀区人民医院胸外科
    2316100 舟山,舟山市普陀区人民医院重症医学科
    3310000 杭州,浙江大学附属邵逸夫医院胸外科
  • 收稿日期:2025-09-18 修回日期:2025-11-07 接受日期:2025-11-20 出版日期:2025-11-28
  • 通信作者: 邵伟
  • 基金资助:
    浙江省卫健委医药技术项目(2025KY434)

A case report of spontaneous rupture of the esophagus with empyema and pneumothorax treated by combined double endoscopy

Weicheng Kong, Wenjuan Chen, Ludi Zhou   

  • Received:2025-09-18 Revised:2025-11-07 Accepted:2025-11-20 Published:2025-11-28
引用本文:

孔维成, 陈文娟, 周鲁迪, 傅晨阳, 许岑松, 王云震, 邵伟, 周楠志. 胸腔镜联合胃镜治疗自发性食管破裂伴脓气胸1例[J/OL]. 中华胸部外科电子杂志, 2025, 12(04): 235-239.

Weicheng Kong, Wenjuan Chen, Ludi Zhou. A case report of spontaneous rupture of the esophagus with empyema and pneumothorax treated by combined double endoscopy[J/OL]. Chinese Journal of Thoracic Surgery(Electronic Edition), 2025, 12(04): 235-239.

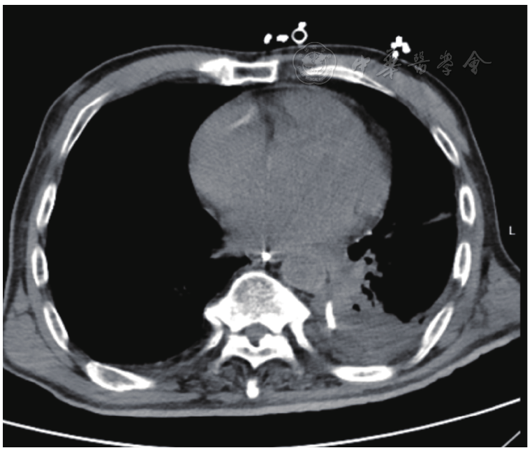
图1 入院时CT提示纵隔气肿,左侧少许积液。CT:计算机断层扫描
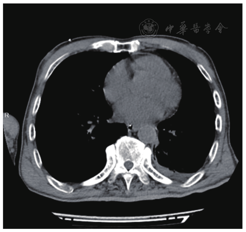
图2 入院后4天复查CT,造影剂溢出进入左侧胸腔,左侧液气胸增多。CT:计算机断层扫描
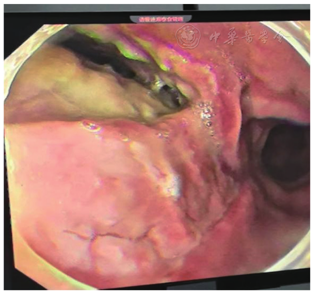
图3 入院第5天完善胃镜检查,食管瘘口长约5 cm,瘘口处可见肿胀并可见胸腔内脓壁
图4 术中脓胸脓壁剥离后游离到食管瘘口处,胸腔镜引导食管镜经口入胸腔,放置空肠营养管用于冲洗和引流
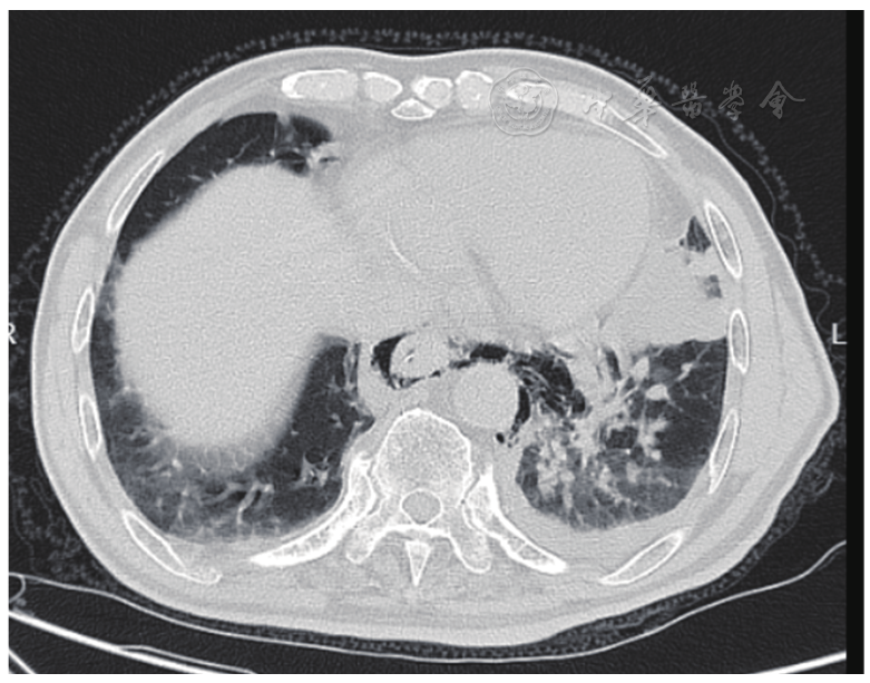
图5 术后第4天复查CT,液气胸基本吸收,左下肺不张实变。CT:计算机断层扫描
图6 术后第10天复查CT,液气胸和肺实变好转。CT:计算机断层扫描
图7 术后30天复查CT,食管瘘口引流管在位,肺实变好转。CT:计算机断层扫描
图8 术后57天口服造影剂后复查CT,食管瘘口引流管已拔除,造影剂无遗漏,肺实变好转。CT:计算机断层扫描
图9 出院后10天复查CT,门诊复查已经痊愈。CT:计算机断层扫描
1
Turner ARCollier SATurner SD. Boerhaave Syndrome[M].Treasure Island(FL):StatPearls Publishing;2025
2
Cuccì MCaputo FFraternali Orcioni G,et al.Transition of a Mallory-Weiss syndrome to a Boerhaave syndrome confirmed by anamnestic, necroscopic, and autopsy data:A case report[J].Medicine(Baltimore)201897(49):e13191.
3
Aiolfi AMicheletto GGuerrazzi G,et al.Minimally invasive surgical management of Boerhaave’s syndrome:a narrative literature review[J].J Thorac Dis202012(8):4411-4417.
4
Tanaka HUemura NNishikawa D,et al.Boerhaave syndrome due to hypopharyngeal stenosis associated with chemoradiotherapy for hypopharyngeal cancer: a case report[J].Surg Case Rep20184(1):54.
5
Harikrishnan SMurugesan CSKarthikeyan R,et al.Challenges faced in the management of complicated Boerhaave syndrome:a tertiary care center experience[J].Pan Afr Med J202036:65.
6
Ariza-Traslaviña JCaballero-Otálora NPolanía-Sandoval CA,et al.Two-staged surgical management for complicated Boerhaave syndrome with esophagectomy and deferred gastroplasty:A case report[J].Int J Surg Case Rep2023103:107881.
7
Kopelman YAbu Baker FTroiza A,et al.Boerhaave syndrome in an elderly man successfully treated with 3-month indwelling esophageal stent[J].Radiol Case Rep201813(5):1084-1086.
8
Yap DNg MMbakada N.A rare complication of ileostomy obstruction: Boerhaave syndrome[J].Ann R Coll Surg Engl2018100(8):e1-e4.
9
Lieu MTLayoun MEDai D,et al.Tension hydropneumothorax as the initial presentation of Boerhaave syndrome[J].Respir Med Case Rep201825:100-103.
10
van der Weg GWikkeling Mvan Leeuwen M,et al.A rare case of oesophageal rupture:Boerhaave’s syndrome[J].Int J Emerg Med20147:27.
11
Tonolini MBianco R.Spontaneous esophageal perforation(Boerhaave syndrome):Diagnosis with CT-esophagography[J].J Emerg Trauma Shock20136(1):58-60.
12
Tonolini MBianco R.Spontaneous esophageal perforation(Boerhaave syndrome):Diagnosis with CT-esophagography[J].J Emerg Trauma Shock20136(1):58-60.
13
Ivey TDSimonowitz DADillard DH,et al.Boerhaave syndrome. Successful conservative management in three patients with late presentation[J].Am J Surg1981141(5):531-533.
14
Hauge TKleven OCJohnson E,et al.Outcome after stenting and débridement for spontaneous esophageal rupture[J].Scand J Gastroenterol201853(4):398-402.
15
Sulpice LDileon SRayar M,et al.Conservative surgical management of Boerhaave’s syndrome: experience of two tertiary referral centers[J].Int J Surg201311(1):64-67.
16
於亮亮,缪达,周建仓,等.新"三管"法治疗食管自发性破裂的临床分析[J].中华内科杂志,201857(8):588-591.
[1] 蒲茜, 文曰, 卢春燕, 赵锐. 经肛门内镜微创手术治疗直肠肿瘤应用研究进展[J/OL]. 中华普外科手术学杂志(电子版), 2025, 19(06): 698-700.
[2] 谢汉清, 赵丽, 胡波涛, 陈炳成, 钟国就, 黄健. 立体定向放疗与胸腔镜亚肺叶切除对早期非小细胞肺癌患者生存率的影响[J/OL]. 中华肺部疾病杂志(电子版), 2025, 18(06): 885-890.
[3] 王晓强, 孙玉满, 郑玄, 赵鑫鑫, 郑晶晶. VE/VCO2斜率对非小细胞肺癌视频辅助胸腔镜术后持续性漏气的预测意义[J/OL]. 中华肺部疾病杂志(电子版), 2025, 18(06): 923-928.
[4] 高红, 潘冬青, 陈凤, 张林香, 苗素琴, 韩坤秀, 曲乐, 闫萍. 胸腔镜支气管肺癌肺段切除术后中重度急性疼痛风险分析[J/OL]. 中华肺部疾病杂志(电子版), 2025, 18(05): 732-736.
[5] 吴靓, 石晴晴, 徐海龙, 江海城, 李健, 宋志静, 赵盼盼. 超声引导下前锯肌平面阻滞联合全身麻醉对肺癌胸腔镜肺叶切除术后镇痛及肺功能的影响[J/OL]. 中华肺部疾病杂志(电子版), 2025, 18(05): 773-778.
[6] 陈璐, 鲁静, 帅维正, 狄守印, 王倩, 陶莎, 杨玉晶. 全程肺康复管理在肺癌患者胸腔镜围术期的临床应用[J/OL]. 中华肺部疾病杂志(电子版), 2025, 18(05): 811-813.
[7] 李新宇, 梁建锋. 神经内镜治疗基底节区脑出血技术探讨[J/OL]. 中华脑科疾病与康复杂志(电子版), 2025, 15(05): 317-320.
[8] 朱风尚, 熊光苏, 韩峻峰. 重视减重多模式组合和个体化治疗[J/OL]. 中华消化病与影像杂志(电子版), 2025, 15(06): 561-564.
[9] 延珍妮, 张修礼. 消化内镜机器人研究现状及发展展望[J/OL]. 中华消化病与影像杂志(电子版), 2025, 15(06): 565-569.
[10] 邹欢, 何斌, 赵斌, 屈霄. 内镜下尼龙绳联合钛夹止血治疗急性非静脉曲张性上消化道出血的临床研究[J/OL]. 中华消化病与影像杂志(电子版), 2025, 15(06): 570-575.
[11] 刘燕, 马亦旻. 消化道早癌患者内镜黏膜下剥离术后局部复发预测模型构建与验证[J/OL]. 中华消化病与影像杂志(电子版), 2025, 15(06): 576-582.
[12] 蒋佳妮, 赵宇, 吕富靖, 张澍田. 恶性梗阻性黄疸的引流策略[J/OL]. 中华消化病与影像杂志(电子版), 2025, 15(06): 661-669.
[13] 戴婧, 林敏, 胡迎春. 内镜黏膜下剥离术治疗以黏膜下隆起为表现的IgG4相关性胃病一例[J/OL]. 中华消化病与影像杂志(电子版), 2025, 15(06): 676-680.
[14] 江学良. 人工智能在炎症性肠病诊疗中的研究进展与应用展望[J/OL]. 中华消化病与影像杂志(电子版), 2025, 15(06): 680-680.
[15] 薛家明, 陈帅, 焦宇文, 王冬梅, 赵杰, 周艳, 汤黎明. 内镜技术在减重治疗中的现状与未来[J/OL]. 中华消化病与影像杂志(电子版), 2025, 15(05): 421-425.
阅读次数
全文


摘要


AI


AI小编
你好!我是《中华医学电子期刊资源库》AI小编,有什么可以帮您的吗?