切换至 "中华医学电子期刊资源库"

中华胸部外科电子杂志 ›› 2025, Vol. 12 ›› Issue (04) : 240 -244. doi: 10.3877/cma.j.issn.2095-8773.2025.04.08

病例报告

原发性肺腺泡细胞癌1例
巫超1, 谢良钧1, 柳正赟2, 卢陈英1,()   
  1. 1323000 丽水,丽水市中心医院放射科,丽水市精准医学研究重点实验室
    2323000 丽水,丽水市中心医院病理科
  • 收稿日期:2025-04-08 修回日期:2025-05-11 接受日期:2025-05-14 出版日期:2025-11-28
  • 通信作者: 卢陈英

A case of primary pulmonary alveolar cell carcinoma

Chao Wu, Liangjun Xie, Zhengyun Liu   

  • Received:2025-04-08 Revised:2025-05-11 Accepted:2025-05-14 Published:2025-11-28
引用本文:

巫超, 谢良钧, 柳正赟, 卢陈英. 原发性肺腺泡细胞癌1例[J/OL]. 中华胸部外科电子杂志, 2025, 12(04): 240-244.

Chao Wu, Liangjun Xie, Zhengyun Liu. A case of primary pulmonary alveolar cell carcinoma[J/OL]. Chinese Journal of Thoracic Surgery(Electronic Edition), 2025, 12(04): 240-244.

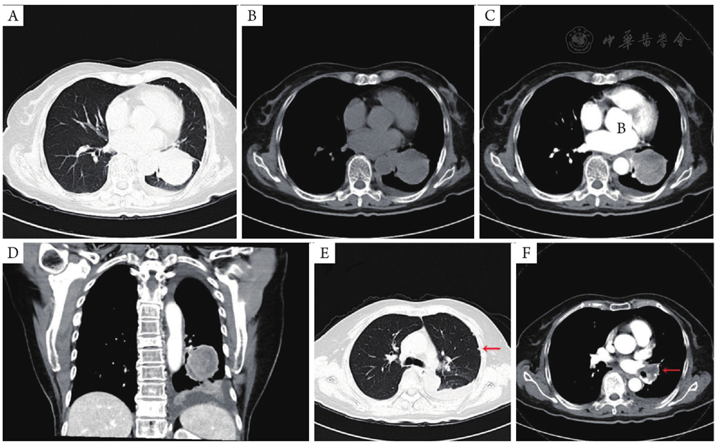
图1 胸部增强CT(2022年10月14日)。A、B:CT肺窗及纵隔窗提示左肺下叶类圆形肿块,边界清,边缘光整,相应支气管狭窄闭塞;C、D:增强扫描病灶明显不均匀强化,内见斑片状无强化坏死区;E:左侧胸膜多发结节状增厚(红色箭头),提示胸膜转移;F:左肺门见转移淋巴结(红色箭头),伴有坏死。CT:计算机断层扫描
图2 支气管镜检查示左下肺前外基底段见肉芽组织新生物完全阻塞管腔
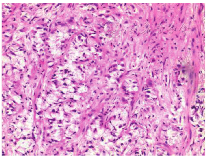
图3 肺腺泡细胞癌病理染色图片(HE,×200)。HE:苏木精-伊红染色
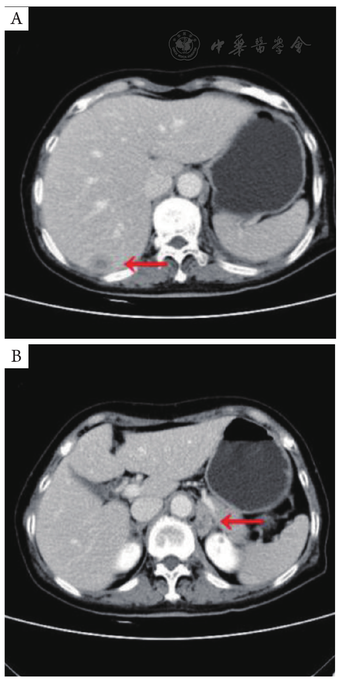
图4 全腹部增强CT(2022年10月20日)。A:肝右叶转移瘤(红色箭头),增强扫描呈典型"牛眼征";B:左侧肾上腺转移瘤(红色箭头)。CT:计算机断层扫描
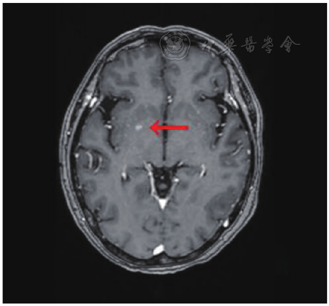
图5 头颅MRI(2022年10月18日)。右侧基底节区强化小结节(红色箭头),提示脑转移。MRI:磁共振
图6 全身骨显像(2022年10月18日)示左肱骨、左第3、6肋及右第5肋、T7、T11、L3、L5椎体骨代谢异常增强,提示多发骨转移
图7 胸部CT平扫(2024年09月18日)肺窗(A)及纵隔窗(B)示肿瘤较前明显缩小。CT:计算机断层扫描
图8 头颅增强MRI(2024年09月19日):脑转移瘤稍增大(红色箭头)。MRI:磁共振
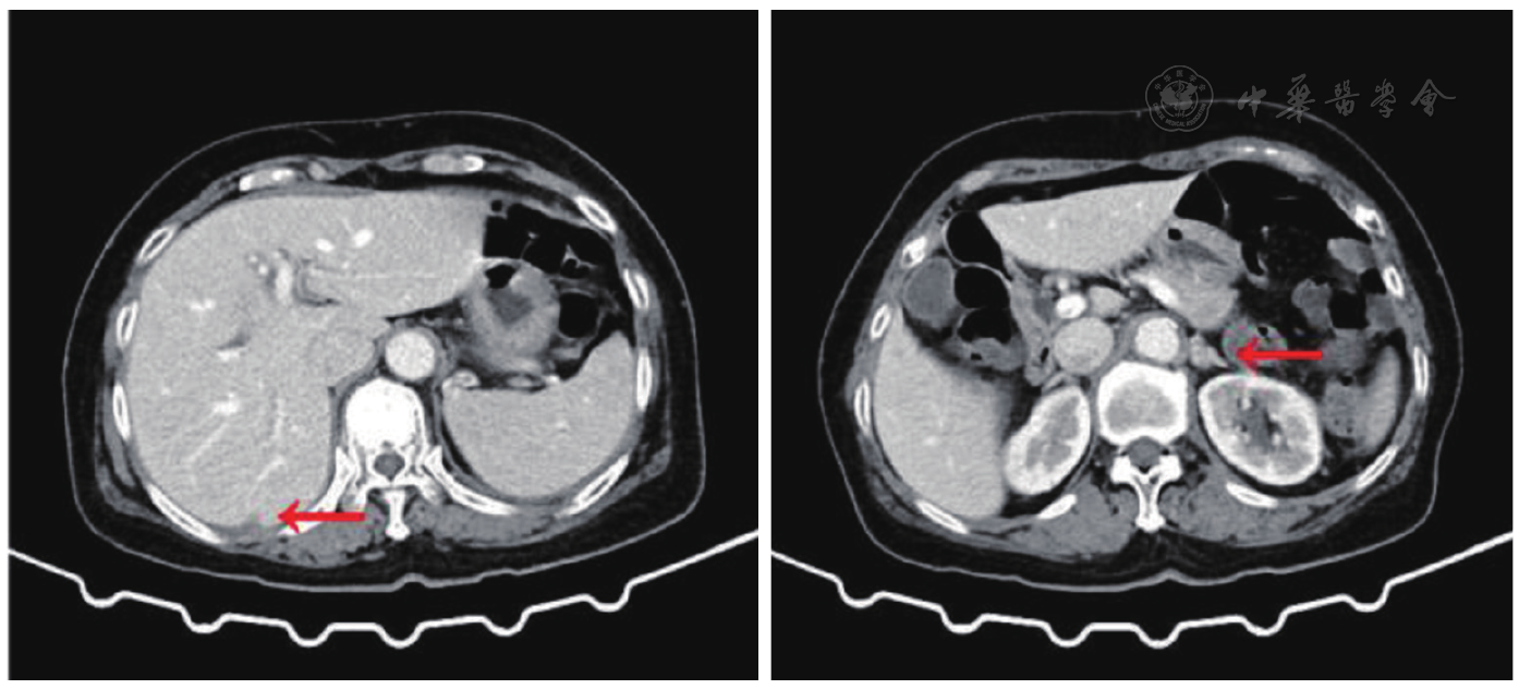
图9 全腹部增强CT(2025年04月10日):肝右叶转移瘤(A;红色箭头)及左侧肾上腺转移瘤(B;红色箭头)明显缩小。CT:计算机断层扫描
1
Fechner REBentinck BRAskew JB Jr.Acinic cell tumor of the lung. A histologic and ultrastructural study[J].Cancer197229(2):501-508.
2
张能冲,赵广垠,陈学瑜,等.右肺巨大腺泡细胞癌合并纵隔严重偏移一例[J].中国胸心血管外科临床杂志202128(4):488-491.
3
张丽慧,吴兰雁,姚甜,等.涎腺腺泡细胞癌的临床病理分析[J].口腔颌面外科杂志201424(5):360-363.
4
方三高,陈真伟,魏建国,等.2021年第5版WHO胸部肿瘤分类[J].诊断病理学杂志202128(7):591-593,607.
5
Meng FJSun ZNWang ZN,et al.Prognostic factors and survival outcome of primary pulmonary acinar cell carcinoma[J].Thorac Cancer202112(18):2439-2448.
6
Nie LZhou CWu H,et al.Primary Pulmonary Acinic Cell Carcinoma: A Clinicopathological Study of 6 Cases and Literature Review[J].Int J Surg Pathol201927(6):584-592.
7
王志强,胡利兵,黄述斌,等.涎腺腺泡细胞癌5例报道并文献复习[J].中国肿瘤外科杂志2014(4):230-232.
8
李韵霏.肺原发涎腺型肿瘤的临床病理学特点及分析[D].郑州:郑州大学,2022
9
张冬梅,梁文清,左淑英,等.肺唾液腺型肿瘤13例临床病理分析[J]. 临床与实验病理学杂志201935(4):462-465.
10
封俊,高德培,张大福,等.原发性肺涎腺肿瘤的临床及CT表现[J].临床放射学杂志, 201534(12):1909-1912.
11
杨丽青,杨小东,张艺,等.41例原发性肺涎腺型肿瘤临床特点分析[J].华西医学201732(6):857-861.
12
Huang SPeng XLi H,et al.Successful endotracheal intervention for primary tracheal acinic cell carcinoma: A case report and literature review[J].Medicine (Baltimore)2024103(6):e37033.
13
王琼,彭迪,程少磊,等.MSCT诊断原发性肺腺泡细胞癌临床案例分析[J]. CT理论与应用研究202433(2):228-234.
14
Yang MQWang ZQLi XF,et al.Primary acinic cell carcinoma of the trachea: A case report and literature review[J].Medicine (Baltimore)2023102(6):e32871.
15
杨丽青,杨小东,胡秋芳,等.原发性支气管腺泡细胞癌1例报告[J].临床肺科杂志2017, 22(2):380-381.
[1] 姚垚, 杨小红, 赵胜, 高艳多, 郭凯莉. 胆道闭锁产前及生后超声诊断分析[J/OL]. 中华医学超声杂志(电子版), 2025, 22(10): 962-968.
[2] 杨明, 许彩娜, 张宁, 王晓娜, 贾坤, 宋伟, 李丽, 薛红元. 2023—2024年度河北省甲状腺癌超声诊断符合率现状分析[J/OL]. 中华医学超声杂志(电子版), 2025, 22(09): 846-849.
[3] 汤伟伟, 徐丽娟, 李金, 绳兰兰. 下颌下腺分泌性癌1例并文献复习[J/OL]. 中华口腔医学研究杂志(电子版), 2025, 19(06): 405-409.
[4] 毛俊, 蔡兆伦, 尹晓南, 沈朝勇, 张波. 影像组学预测模型在胃肠间质瘤诊断及预后中的研究进展[J/OL]. 中华普通外科学文献(电子版), 2025, 19(06): 421-425.
[5] 薛兆强, 袁寅. 双镜联合保功能胃癌根治术治疗早期近端胃癌的临床研究[J/OL]. 中华普外科手术学杂志(电子版), 2025, 19(06): 628-632.
[6] 胡博文, 胡亚兰, 梁辉. 前列腺癌早期筛查的常见方法及最新研究进展[J/OL]. 中华腔镜泌尿外科杂志(电子版), 2025, 19(06): 800-808.
[7] 许梓锋, 黄展森, 狄金明. 胡桃夹综合征诊治进展[J/OL]. 中华腔镜泌尿外科杂志(电子版), 2025, 19(06): 784-791.
[8] 陈雪梅, 郭宇桐, 刘锦程, 钱航, 王斌, 徐智. 二硫化钼负载铂钯联用氮化硼的新型传感器构建及对神经元特异性烯醇化酶的检测研究[J/OL]. 中华肺部疾病杂志(电子版), 2025, 18(06): 860-865.
[9] 曾慧, 刘朝朝, 牛雷, 邓雅洁, 徐礼霞, 沙莎. 早期肺腺癌血清外泌体miRNA特征谱及诊断标志物筛选研究[J/OL]. 中华肺部疾病杂志(电子版), 2025, 18(06): 891-896.
[10] 王春, 许斌, 刘丹, 陶承志, 林欢, 张海涛. 支气管肺泡灌洗液PTPN2水平与矽肺患者疾病严重程度和肺功能的关系研究[J/OL]. 中华肺部疾病杂志(电子版), 2025, 18(06): 904-910.
[11] 李晓颜, 邢爱花, 董瑞生, 王瑞玲, 贾子江, 郑丽琴. 血管细胞黏附分子-1、肝素结合蛋白蛋白及调节性T细胞水平检测对支气管哮喘并发肺部感染患者的预测意义[J/OL]. 中华肺部疾病杂志(电子版), 2025, 18(06): 911-916.
[12] 许志翱, 顾丽萍, 曹敏, 宣梦馨, 李艳婷, 赵丽亭. 基于加速康复外科和预康复模式对老年肺癌围术期多维度管理干预及预后的影响[J/OL]. 中华肺部疾病杂志(电子版), 2025, 18(06): 979-984.
[13] 俞颖倩, 徐兴祥. 淋巴结转移与非转移对原发性支气管肺癌免疫微环境及免疫治疗的影响[J/OL]. 中华肺部疾病杂志(电子版), 2025, 18(06): 1027-1030.
[14] 延珍妮, 张修礼. 消化内镜机器人研究现状及发展展望[J/OL]. 中华消化病与影像杂志(电子版), 2025, 15(06): 565-569.
[15] 宁雯琪, 张永利. 脓毒症心肌病的研究进展:基础、临床与展望[J/OL]. 中华临床医师杂志(电子版), 2025, 19(06): 461-466.
阅读次数
全文


摘要


AI


AI小编
你好!我是《中华医学电子期刊资源库》AI小编,有什么可以帮您的吗?