切换至 "中华医学电子期刊资源库"

中华胸部外科电子杂志 ›› 2026, Vol. 13 ›› Issue (01) : 83 -87. doi: 10.3877/cma.j.issn.2095-8773.2026.01.09

病例报告

单免疫治疗晚期肺腺癌多发脑转移患者1例
续文栋1,2, 郑锴2, 张鹏1,2,(), 张华阳1, 李润泽1, 常东旭1   
  1. 1300300 天津,天津医科大学总医院空港医院胸外科
    2300052 天津,天津医科大学总医院心胸外科
  • 收稿日期:2025-09-09 修回日期:2025-11-13 接受日期:2026-02-06 出版日期:2026-02-28
  • 通信作者: 张鹏
  • 基金资助:
    天津医科大学总医院空港医院强腰行动科研基金

A case of advanced lung adenocarcinoma with multiple brain metastases treated with single immunotherapy

Wendong Xu, Kai Zheng, Peng Zhang()   

  • Received:2025-09-09 Revised:2025-11-13 Accepted:2026-02-06 Published:2026-02-28
  • Corresponding author: Peng Zhang
引用本文:

续文栋, 郑锴, 张鹏, 张华阳, 李润泽, 常东旭. 单免疫治疗晚期肺腺癌多发脑转移患者1例[J/OL]. 中华胸部外科电子杂志, 2026, 13(01): 83-87.

Wendong Xu, Kai Zheng, Peng Zhang. A case of advanced lung adenocarcinoma with multiple brain metastases treated with single immunotherapy[J/OL]. Chinese Journal of Thoracic Surgery(Electronic Edition), 2026, 13(01): 83-87.

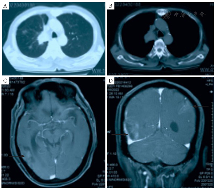
图1 患者入院时的胸部强化CT及头颅MRI检查。A,B:胸部CT示右肺上叶及右肺门区病变,最大横截面积约89 mm × 53 mm;C,D:头颅MRI示右侧颞枕叶富血供肿瘤,左侧顶叶异常强化。CT:计算机断层扫描;MRI:磁共振
图2 患者单免疫用药治疗1年后外院复查胸部平扫CT及头颅CT情况。A,B:胸部平扫CT右肺上叶及右肺门区病变,最大横截面积约65 mm × 43 mm;C,D:头颅CT示右侧颞枕叶、左侧顶叶病灶(箭头示)较前局限。CT:计算机断层扫描
图3 患者2年后我院门诊复查胸部强化CT及头颅MRI平扫情况。A,B:胸部强化CT示右肺上叶及右肺门区病变,最大横截面积约62 mm × 32 mm;C,D:头颅MRI示右侧颞枕叶、左侧顶叶病灶局限。CT:计算机断层扫描;MRI:磁共振
1
Lamba N, Kearney RB, Catalano PJ, et al. Population-based estimates of survival among elderly patients with brain metastases[J]. Neuro Oncol, 2021, 23(4): 661-676.
2
Palicelli A, Croci S, Bisagni A, et al. What Do We Have to Know about PD-L1 Expression in Prostate Cancer? A Systematic Literature Review. Part 4: Experimental Treatments in Pre-Clinical Studies (Cell Lines and Mouse Models)[J]. Int J Mol Sci, 2021.
3
陈立如, 刘亮, 彭雷, 等. 单孔胸腔镜左肺下叶袖式切除术:新辅助免疫化疗后手术[J]. 中华胸部外科电子杂志, 2023, 10(4): 22833-22233.
4
Gray JE, Saltos A, Tanvetyanon T, et al. Phase Ⅰ/Ⅰb Study of Pembrolizumab Plus Vorinostat in Advanced/Metastatic Non-Small Cell Lung Cancer[J]. Clin Cancer Res, 2019, 25(22): 6623-6632.
5
Argiris A, Lee JW, Stevenson J, et al. Phase Ⅱ randomized trial of carboplatin, paclitaxel, bevacizumab with or without cixutumumab (IMC-A12) in patients with advanced non-squamous, non-small-cell lung cancer: a trial of the ECOG-ACRIN Cancer Research Group (E3508)[J]. Ann Oncol, 2017, 28(12): 3037-3043.
6
Holleman MS, Al MJ, Zaim R, et al. Cost-effectiveness analysis of the first-line EGFR-TKIs in patients with non-small cell lung cancer harbouring EGFR mutations[J]. Eur J Health Econ, 2020, 21(1): 153-164.
7
周娟, 习磊, 赵沙, 等. 肺癌免疫治疗动态监测标志物的研究进展[J]. 中华胸心血管外科杂志, 2018, 34(10): 636-640.
8
Suwinski R. Combination of immunotherapy and radiotherapy in the treatment of brain metastases from non-small cell lung cancer[J]. J Thorac Dis, 2021, 13(5): 3315-3322.
9
Lu R, Wang Z, Tian W, et al. A retrospective study of radiotherapy combined with immunotherapy for patients with baseline brain metastases from non-small cell lung cancer[J]. Sci Rep, 2025, 15(1): 7036.
10
Brahmer JR, Lee JS, Ciuleanu TE, et al. Five-Year Survival Outcomes With Nivolumab Plus Ipilimumab Versus Chemotherapy as First-Line Treatment for Metastatic Non-Small-Cell Lung Cancer in CheckMate 227[J]. J Clin Oncol, 2023, 41(6): 1200-1212.
11
West HJ, McCleland M, Cappuzzo F, et al. Clinical efficacy of atezolizumab plus bevacizumab and chemotherapy in KRAS-mutated non-small cell lung cancer with STK11, KEAP1, or TP53 comutations: subgroup results from the phase Ⅲ IMpower150 trial[J]. J Immunother Cancer, 2022, 10(2): e003027.
12
Buriolla S, Pelizzari G, Corvaja C, et al. Immunotherapy in NSCLC Patients with Brain Metastases[J]. Int J Mol Sci, 2022, 23(13): 7068.
[1] 栗家兴, 程紫轩, 吕欣悦, 王江芬, 张晶晶, 张亚芬. 肿瘤浸润淋巴细胞在乳腺癌免疫治疗中的作用及其预后预测价值[J/OL]. 中华乳腺病杂志(电子版), 2026, 20(01): 49-54.
[2] 李雨秋, 莫红楠. 乳腺癌肿瘤微环境特征及免疫治疗新进展[J/OL]. 中华乳腺病杂志(电子版), 2025, 19(06): 331-338.
[3] 钱龙, 蔡大明, 王行舟, 艾世超, 胡琼源, 孙锋, 宋鹏, 王峰, 王萌, 陆晓峰, 朱欢欢, 沈晓菲, 管文贤. 局部不可切除胃癌转化治疗(联合免疫治疗)后淋巴结转移的相关危险因素分析[J/OL]. 中华普外科手术学杂志(电子版), 2025, 19(06): 624-627.
[4] 王思竣, 王琼, 李珂雨, 袁新普, 张硕珉, 马睿, 谢天宇, 张朝军. 胃上部癌新辅助化疗联合免疫治疗后实施近端胃切除术的临床疗效分析[J/OL]. 中华普外科手术学杂志(电子版), 2025, 19(06): 637-641.
[5] 许鹏, 邓一鸣, 张兴超, 莫益鑫, 郑炯文, 陈春晓, 郭凯, 徐啊白. 广东省医学会泌尿外科疑难病例多学科会诊(第24期)——膀胱憩室癌[J/OL]. 中华腔镜泌尿外科杂志(电子版), 2026, 20(01): 117-122.
[6] 李艳鸿, 张海颖, 邓丽娜, 张雯文, 贺梦颖, 郭旭萌, 佘静亚. 血清tRF-Lys-CTT表达水平预测肺腺癌患者术后复发的临床意义[J/OL]. 中华肺部疾病杂志(电子版), 2025, 18(06): 936-941.
[7] 唐林娟, 王槿樾, 王欣, 黄娜, 杨凯. 嘌呤生物合成关键酶PAICS在肺腺癌中的表达及功能研究[J/OL]. 中华肺部疾病杂志(电子版), 2025, 18(06): 942-948.
[8] 俞颖倩, 徐兴祥. 淋巴结转移与非转移对原发性支气管肺癌免疫微环境及免疫治疗的影响[J/OL]. 中华肺部疾病杂志(电子版), 2025, 18(06): 1027-1030.
[9] 曾慧, 刘朝朝, 牛雷, 邓雅洁, 徐礼霞, 沙莎. 早期肺腺癌血清外泌体miRNA特征谱及诊断标志物筛选研究[J/OL]. 中华肺部疾病杂志(电子版), 2025, 18(06): 891-896.
[10] 尹鹏飞, 吴堃, 王槐志, 蔡磊. 肝癌免疫治疗策略及其在围手术期中应用进展[J/OL]. 中华肝脏外科手术学电子杂志, 2026, 15(01): 21-27.
[11] 许侨东, 马志延, 冯庚壬, 钟海彬, 刘坚锐, 古松钢. 肝肺多发性原发性癌转化治疗后行腹腔镜肝右前叶切除术一例(附视频)[J/OL]. 中华肝脏外科手术学电子杂志, 2025, 14(06): 973-976.
[12] 张宇涵, 吴添庆, 高汶卿, 郑梽楷, 贺珉睿, 周仲国. 不可切除性肝内胆管癌不同治疗方式疗效和安全性的Meta分析[J/OL]. 中华肝脏外科手术学电子杂志, 2025, 14(06): 939-947.
[13] 王春茂, 韩鸣, 王子彤. 局限期小细胞肺癌新辅助治疗后完全病理学缓解五例[J/OL]. 中华临床医师杂志(电子版), 2025, 19(07): 550-554.
[14] 侯雨函, 姜福金, 王苏贵. 膀胱癌免疫治疗的研究进展[J/OL]. 中华临床医师杂志(电子版), 2025, 19(06): 471-475.
[15] 陆飞, 邓朗朗, 刘江江, 张煜, 冯伟, 马海涛. 局部进展期食管鳞状细胞癌患者新辅助免疫联合化疗前后体成分变化与围手术期结局的相关性分析[J/OL]. 中华胸部外科电子杂志, 2026, 13(01): 36-48.
阅读次数
全文


摘要


AI


AI小编
你好!我是《中华医学电子期刊资源库》AI小编,有什么可以帮您的吗?